Yükleniyor...

Dental Bonding: Doğal Bir Güzel Gülümseme

Image
Image

DİŞ TEDAVİLERİ

Dental Bonding: Doğal Bir Güzel Gülümseme

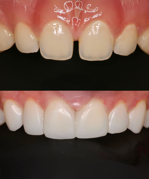
Dental Bonding, çatlak veya renk değiştirmiş dişleri onarmak için kullanılabilen çok yönlü bir kozmetik diş hekimliği işlemidir. Dr. Tülin Ulu Sever Diş Muayenehanesinde, deneyimli diş hekimlerimiz, gülümsemenizi restore etmek ve geliştirmek için kompozit reçine malzemesi kullanır.


İşlem, etkilenen bölgeye diş renginde bir bonding uygulamayı ve ardından özel bir ışıkla şekillendirmeyi içerir. Bonding, dişlerinizin görünümünü iyileştirmek için minimal invaziv ve uygun fiyatlı bir seçenektir.

 

Neden BİZİ Tercİh EtmelİSİNİZ?

Güvenilir ve yenilikçi çözümler için bizi seçin

Muayenehanemiz, hastalarımızın ihtiyaçlarını en iyi şekilde karşılamak için yüksek kaliteli diş tedavileri sunmayı taahhüt eder. Her tedaviyi özenle planlıyor, detaylara dikkat ederek hastalarımızın sağlığına ve memnuniyetine katkı sağlamaktan gurur duyuyoruz.

Yılların tecrübesiyle, hastalarımızın karşılaştığı sorunları anlıyor ve onlara özel çözümler sunuyoruz. Hasta odaklı yaklaşımımız sayesinde, hem pratik hem de uzun vadeli sonuçlar sağlayan tedavilerle beklentilerin ötesine geçiyoruz.

Gülüşünüzü Uzmanlıkla Yeniliyoruz – 20 Yıllık Güvenilir Diş Bakımı
Gülüş Zanaatkarları: Diş Hekimlerimiz Diş Hekimliği Sanatında Mükemmelleştiler.
On Yılların Diş Hekimliği Yeniliğiyle Desteklenir: Diş Hekimliğinin Geleceğini Bugün Deneyimleyin.
Konforunuz Bizim Önceliğimiz: Rahat ve Ağrısız Bir Diş Tedavisi Deneyimi Yaşayın.
Her Gülüş İçin Kişiselleştirilmiş Bakım: Sadece Sizin İçin Özelleştirilmiş Tedavi Planları.
Dünya Standartlarında Diş Hekimliği, Tam Burada İstanbul’da: Yerel Fiyatlarla Uluslararası Standartları Deneyimleyin.
Birden Fazla Dilde Akıcı: İletişim, Konforunuzun Anahtarıdır.
En İyi Sonuçlar İçin En Son Teknoloji: Diş Hekimliğindeki En Son Gelişmeleri Deneyimleyin.
Holistik Bir Diş Bakımı Yaklaşımı: Genel Sağlığınız Bizim Odak Noktamızdır.
Sadece Sizin İçin Özelleştirilmiş Bir Gülüş Dönüşümü: Daima Hayal Ettiğiniz Görünümü Elde Edin.
Şeffaf Fiyatlandırma, Gizli Ücret Yok: Bütçeniz, Bizim Önceliğimiz.
Lüks Bir Diş Hekimliği Deneyimi: Gülüşünüzü Mükemmelleştirirken Kendinizi Şımartın.
Memnuniyetinize Adanmış Bir Ekip: Gülüşünüz, Başarımızdır.
Stressiz Bir Diş Hekimliği Yolculuğu: Her Adımda Yanınızdayız.
Güven Mirası: Nesiller Boyu Aileler Bizi Seçti.
Sıcak ve Samimi Bir Ortam: Dostça Ekibimiz Size Yardım Etmek İçin Buradadır.
Gülüşünüze Yatırım Yapın, Kendinize Yatırım Yapın: Güveniniz En İyisini Hak Eder.
Daha Parlak Bir Gülüşe Yolculuğunuz Burada Başlıyor: Gelin Birlikte Güzel Bir Şey Yaratın.
Kişiselleştirilmiş Tedavi
Hekimler Arası İletişim